Всички статии на Ясен Чаушев
вход през facebook
Активирай автоматично своя акаунт в За Жената, като влезеш през твоя Facebook
вход през zajenata.bg
Име:
Парола:
Забравена парола?
КЪСМЕТЧЕ
ЛЮБОВЕН МЕТЪР
ЩАСТЛИВО ЧИСЛО
ПОЖЕЛАНИЯ
ИМЕНА
КАЛКУЛАТОРИ
Хороскоп
Късметче
Галерия
Всички
Всички
Статии
Съвети
Рецепти
Видео
Снимки
Вход
начало
Новини
Времето Прогноза
Инциденти
Любопитно
Модни
Лукс
Събития
Мода
Модни Тенденции
Модни Съвети
Дизайнери
Чанти
Обувки
Аксесоари
Звезди
Начин на живот
Идеи за уютен дом
Хороскоп и Нумерология
Какво да сготвя
Сериали и предавания
Позитивни мисли
За Дома
Полезни съвети
Пътуване и екскурзии
Работещо момиче
Домашни любимци
Технологии
Игри и тестове
Диети
Красота
Прически
Грим
Маникюр
Грижа за кожата
Естетична хирургия
Любов
Секс
Връзки
Приятели
Сватби
Здраве
Извор на Здраве
Здравни Новини
Женско здраве
Детско Здраве
По-здрави
Лечение с билки
Здравословно хранене
Фитнес и Спорт
Процедури
Родители
Бременност
За бебето
Аз пораснах
Съвети
Модни съвети
Съвети отслабване
Сватбени съвети
Любовни съвети
Здравни съвети
Съвети за косата
Съвети за грим
Съвети за маникюр
Съвети за кожата
Съвети за дома
Фитнес съвети
Съвети за родители
Кулинарни съвети
Позитивно мислене
Съвети за бременни
Галерия
Снимки
Видео
Рецепти
Предястия
Салати
Супи
Сандвичи
Гювечета
Вегетариански
Ястия с месо
Ястия с пиле
Ястия с риба
Суши
Соленки
Пица
Паста
Тестени изделия
Хлебопекарна
Сладки
Мъфини
Десерти
Кекс
Торти
Празнични
Диетична кухня
Зимнина
Сосове
Коктейли
Направете това и няма да имате...
За сърцебиене, тахикардия,...
Правилото ABCDE, което може да ви...
"Зачеването на 12 години е...
Ето как да разберете дали имате...
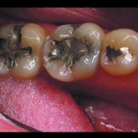
Спешно отстранете черните пломби -...
Ако смесите и консумирате тези три...
Отслабна 122 кг, така показа...
Двойката, която разплака света с...
Каква любов да очакваме според...
Среброто притежава невероятна...
7-те зодии, които чертаят съдбата ни!
Женските тайни, за които жените...
Типове мъже, с които жените нямат...
Корен от джинджифил привлича...
Какво издава палецът за характера ни
«
‹
4335
4336
4337
4338
4339
4340
4341
4342
4343
4344
›
»
галерии
галерии
Прически
Прически
Маникюр
Маникюр
Рокли
Рокли
Грим
Грим
Обувки
Обувки
Бижута Аксесоари
Бижута Аксесоари
Чанти
Чанти
Звезди
Звезди
още
Модни тенденции
Модни тенденции
За дома
За дома
Дизайн
Дизайн
Екзотични Пътешествия
Екзотични Пътешествия
Татуировки
Татуировки
Design & Development:
TaraSoft